検査
| 初診時に可能な検査 |
|---|
|
| 後日の検査 |
|
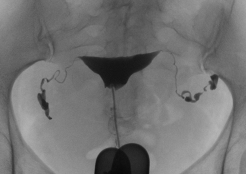
子宮卵管造影(HSG)
月経がほぼ終わっており、かつ排卵前の時期に行います。クラミジアと淋菌が陰性であることを確認した後に行います。月曜・水曜の13:30に来院していただき、すべて終わると16時ころになります。多少の痛みを伴います。検査後の仕事は予定しておかないことを勧めます。HSG検査後は妊娠しやすくなります。検査のみならず治療という意味もあります。

・MRI検査
子宮筋腫・子宮腺筋症・卵巣嚢腫が見られる場合に、検査を受けていただくことがあります。






